At present CTE can be diagnosed only by direct examination of the brain during an autopsy. Thats because CTE can only be diagnosed after death.
Chronic Traumatic Encephalopathy Diagnosis Treatment Football Britannica
Courtesy of the New England Journal of Medicine For the time being the only way for scientists to detect whether a person has CTE or chronic traumatic encephalopathy is to examine their brain tissue after death.

How to detect cte. For a disease to be preventable in some way shape or form a definitive means to detect and diagnose a condition is generally necessary. The initial and most central symptoms in AD involve memory problems while the first symptoms of CTE generally involve problems with judgment reasoning problem solving impulse control and aggression. You can use any of the Set operators.
Finding a biological marker for CTE may also be a key step in identifying ways to prevent slow or even reverse the mental slide that continues long after a player has retired and the blows to the. Adler and others are taking on he says he cant give a great answer on how to mitigate CTE risk. Currently the only definitive way to identify CTE diagnostically is through post-mortem analysis autopsy neuropathological examination and retrospective interview evaluations.
There are no MRI or CT scans we can order says Lorincz noting that a recent study analyzing spinal fluid to detect CTE has a long way to go before approval and use. Avoid these activities as needed or seek professional help. The recursive common table expressions must contain at least two CTE query Definitions a recursive member and an anchor member.
Despite the research Dr. Be cognizant of unhealthy habits like gambling overspending money using alcohol drugs or other addictive substances to cope with problems. WITH recursive_cte root_id id AS SELECT parent_id id FROM test_cte WHERE id0 -- Restrict your recursion to start from the item with id 0 instead of considdering all items.
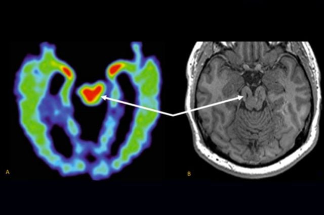
To try to identify CTE he was using an experimental technique to scan the brains of retired football players and soldiers. Interviews are conducted with the close relatives or caretakers of a deceased sufferer and are aimed. A clear understanding of the causes and risk factors including those which may be modifiable or non-modifiable also impact the potential ways and means a medical condition can be prevented.
CTE is a neurodegenerative disease associated with repeated blows to the head. Symptoms of CTE can begin in a patients late 20s or early 30s. Present diagnostic process for CTE.
Doctors must conduct an autopsy to look for signs of brain tissue degeneration and a buildup of abnormal tau proteins. CT enterography CTE is a technique that provides detailed images of the small bowel by using a low Hounsfield unit oral contrast media. The scans were color-coded.
The purpose of DIAGNOSE CTE is to collect and analyze biomarkers for the detection of CTE among other goals. He notes that the overall number of head impacts or injuries that cause CTE is unclear. Currently CTE can be diagnosed only by examining the brains of deceased victims to look for a distinctive pattern of tau deposits.
This is a brain disease for which there is no treatment. The results which were published in the Journal of Alzheimers Disease recently may provide new insights into CTE which is currently only diagnosable in post-mortem analyses. The study indicated an experimental positron emission tomography PET scan can detect an indication of CTE.
In addition these diseases are found to be different in postmortem neuropathological findings. This study was designed to correlate CTE findings with operative findings in patients with Crohns disease. Gandy was working to change that.
UNION ALL operator is the only operator used for combining multiple recursive. Studies show CTE can damage parts of the brain that regulate impulsive behaviors. How can Chronic Traumatic Encephalopathy CTE be prevented.
There are no formally developed clinical guidelines for the diagnosis of CTE in living patients. The collaboration of scientists worked together to develop a novel method for measuring plasma exosomal tau termed TauSome. You will need to put your WHERE-filter in the CTE part of your query like so.
But to get any closer to being able to treat or even prevent CTE researchers must first find a way to diagnose it in the living. The diseases pathology is marked by a buildup of abnormal tau protein in the brain of living NFL players who have experienced cognitive mood and behavioral symptoms. UNION UNION ALL EXCEPT or INTERSECT to combine the anchor members of Sql common table expression.
CTE is not a clinical diagnosis. Common behaviors are anger lack of impulse control depression suicidal thinking and paranoia.
Possible Biomarker For Diagnosing Cte During Life The Brink Boston University
Former Nfl Player Confirmed As 1st Diagnosis Of Cte In Living Patient Abc News
New Test May Be Able To Detect Cte In Brains Of Living Nfl Players
Scientists May Have Found A Way To Diagnose Cte In Football Players While They Re Still Alive Los Angeles Times
The Quest To Detect Cte In The Living And What It Means For Football S Concussion Crisis The Washington Post
Scientists May Have Found A Way To Diagnose Cte In Football Players While They Re Still Alive Los Angeles Times
Bu Study Suggests A Way To Diagnose Cte In Living People The Boston Globe
Mri Test For Football Players Could Detect Cte Imaging Technology News
Learn The Symptoms In The Four Stages Of Cte The Boston Globe
Chronic Traumatic Encephalopathy Cte Symptoms Treatments Alz Org
Toward Diagnosing Cte In Living People School Of Medicine
Test Might Diagnose Brain Damage In Living Football Players
Chronic Traumatic Encephalopathy Wikipedia
Mri Scan May Help Diagnose Chronic Traumatic Encephalopathy Imaging Technology News
No comments:
Post a Comment
Note: Only a member of this blog may post a comment.